알레르기성 자반증의 다양한 명칭
알레르기성 자반증의 다양한 명칭, 용어가 어려울 뿐 다 비슷한 상태를 의미한다고 생각하시면 됩니다.
환자분들 중에는 다양한 용어로 자반증 진단을 받고, 이것이 같은 질환인지 헷갈려 하시는 경우가 종종 있습니다. 오늘은 이 용어들에 대해 이야기해볼까 합니다.
과민성 혈관염(hypersensitivity vasculitis), 훼노흐쉔라인 자반증, 모세혈관염, 피부혈관염, 백혈구파쇄성 혈관염(leykocytoclastic vasculitis) 등 알레르기성 자반증은 다양한 이름으로 불립니다.
자반증, 알레르기성 자반증이란
우선 자반증이란, 피부에 붉은 반점이 나타나는 것을 의미합니다. 자반증을 나타내는 대표적인 질환이 혈관염입니다.
물론 혈소판 감소증이나 혈액응고인자의 이상 등으로 지혈이 되지 않아 피부에 붉은색, 자색의 반점이 나타날 수도 있습니다. 이런 경우에는 검사를 하면 이상 여부를 알 수 있습니다.
반면, 대부분의 자반증은 검사상 특별한 이상 없이 반복되는 혈관염입니다. 최근에는 자가면역반응으로 인한다고 인지되며, 알레르기성 자반증이라고 많이 이야기합니다.
훼노흐쉔라인 자반증과 과민성 혈관염
알레르기성 자반증의 또 다른 명칭 첫 번째는 훼노흐쉔라인 자반증과 과민성 혈관염입니다.
알레르기란 용어 자체가 과민면역반응이라는 뜻입니다. 과민성 혈관염이란 원인불명의 과민면역반응이 혈관에 생긴 상태입니다.

즉, 알레르기성 자반증, 과민성 혈관염이 비슷한 상황을 일컫는 용어라고 생각하면 됩니다.
그리고 훼노흐쉔라인 자반증은 알레르기성 혈관염, 과민성 혈관염으로 인해 피부의 자반과 함께 복통, 관절통, 혈뇨 같은 특징적인 증상이 동반됩니다.

모세혈관염과 피부 혈관염
알레르기성 자반증의 또 다른 명칭 두 번째는 모세혈관염과 피부혈관염입니다. 모세혈관염이란 용어 그대로 모세혈관에 염증이 생겼다는 뜻입니다.
대동맥, 대정맥, 소동맥, 소정맥 같은 큰 크기의 혈관보다는 주로 피부 근처에 위치한 모세혈관에 염증이 발생한 것입니다. 모세혈관염은 피부의 자반, 수포, 피부 상처, 궤양과 같은 피부 증상이 주로 나타납니다.
다시 말해 피부 주변의 작은 혈관에 염증이 생겨 증상이 나타날 때, 모세혈관염이나 피부혈관염이라 명칭한다고 생각하시면 됩니다.


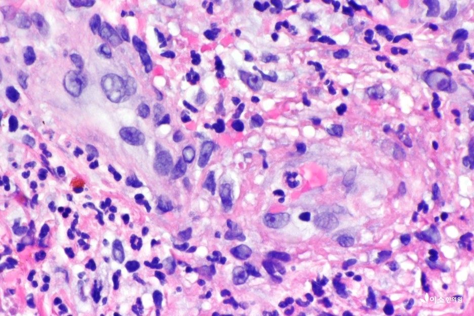
백혈구 파쇄성 혈관염
알레르기성 자반증의 또 다른 명칭 세 번째는 백혈구 파쇄성 혈관염입니다. 백혈구 파쇄성 혈관염이란 병리 조직학적인 소견을 의미합니다.
혈관의 염증으로 혈관 벽이 손상되고 병리 조직학적으로 백혈구 파쇄의 소견이 나타날 때, 백혈구 파쇄성 혈관염이라고 명칭합니다.
따라서 백혈구 파쇄성 혈관염은 병리조직검사 후에 내려지는 진단 결과이고, 혈관염의 조직학적인 상태를 말해주는 것이라고 이해하시면 됩니다.

알레르기성 자반증의 치료
오늘은 알레르기성 자반증의 여러 가지 용어에 대해 알아보았습니다. 용어가 어려울 뿐 다 비슷한 상태를 의미한다고 생각하시면 됩니다.
치료에 있어서도 통증이나 피부 상처가 있다면 그에 맞는 대증 치료를 하고, 스테로이드를 복용하기도 합니다.
하지만 혈관염 자체가 발생하는 원인이 명확하지 않기 때문에 휴식과 안정을 통한 자연치유를 목표로 합니다.
다만 증상이 장기화되거나, 호전과 악화를 반복하거나, 스테로이드를 복용해도 잘 호전되지 않거나, 재발을 반복할 수 있습니다.
이때는 체내 면역시스템이 정상화되어 몸이 스스로 혈관의 염증을 해소할 수 있도록 정확한 체질진단과 한의학적인 치료가 필요합니다.

