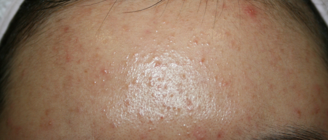
여드름 짤 땐 2차 감염 주의하고 습윤 밴드는 압출 후에 사용해야
여드름을 잘못 압출하여 화농성 여드름의 고름이나 면포성 여드름의 여드름 씨가 확실히 배출되지 않으면, 여드름 표면에 상처만 내고 농이 제거되지 않게 됩니다. 때문에 화농 부위가 점점 넓어지고 깊어질 수 있습니다.
여드름 환자분들이 간혹, 여드름을 짜도 되는지, 혹은 습윤 밴드와 같은 하이드로콜로이드 제품을 피부에 붙이는 게 도움이 되는지 물어보십니다. 오늘은 올바른 여드름 자가 관리법(셀프 관리법)에 대해 이야기해볼까 합니다.
집에서 여드름 짤 때 주의사항
여드름의 압출이나 면포의 제거 등 여드름을 짜는 행위는 여드름의 전체적인 경과에 큰 영향을 주지 않는 것으로 알려져 있습니다.
즉, 여드름을 짠다고 해서 여드름 증상이 호전되는 것은 아니라는 이야기입니다. 하지만 이미 발생한 여드름(면포)을 적절히 제거를 해주면 치료 효과가 빨라질 수는 있습니다.
그렇다면 여드름을 압출할 때, 가장 중요한 포인트는 무엇일까요? 바로, 압출을 해야 할 여드름과 그렇지 않은 여드름을 구별하는 것입니다.
구별 후 짜야 할 여드름을 압출할 때는 면포가 완전히 배출되도록 해야 하며, 여드름 제거 후에는 2차감염이 발생하지 않도록 상처 관리가 되어야 합니다.
스스로 여드름 압출하면 염증 악화되기 쉬워
깔끔하고 정확하게 여드름을 짜기 위해서는, 여드름(면포)을 바늘이나 침 등으로 구멍을 내어 개방형 면포를 만든 후 여드름 추출기나 면봉을 이용하여 농이나 여드름 씨가 확실히 배출 될 때까지 깨끗하게 짜야 합니다.

만약 여드름을 잘못 압출하여 화농성 여드름의 고름(농)이나 면포성 여드름의 여드름 씨가 확실히 배출되지 않으면, 여드름 표면에 상처만 내고 농이 제거되지 않게 됩니다. 때문에 화농 부위가 점점 넓어지고 깊어질 수 있습니다.
혼자 여드름을 압출하는 것을 권장하지 않는 이유가 여기에 있습니다. 스스로 여드름을 압출하다 보면 고름(농)이나 여드름 씨를 완벽하게 압출하지 못할 수 있습니다. 그리고 여드름이 아물기 전에 자꾸 손으로 건드려 2차감염을 발생시킬 수 있고, 이로 인해 염증이 악화될 수 있습니다.

<화농성 여드름은 농이 완전히 배출될때 까지 압출하여야 합니다.>

<면포성 여드름은 여드름씨가 배출될도록 압출해야 합니다.>
여드름 압출 전에는 습윤 밴드 붙이지 말아야
보통 듀오덤, 습윤 테이프, 하이드로콜로이드 밴드라고 불리는 습윤 밴드를 사용할 때는, 꼭 여드름을 압출한 후에 붙이는 것이 중요합니다.

<상처에 부착하는 하이드로콜로이드 습윤드레싱밴드>
하이드로콜로이드 밴드는 상처 회복에 습윤한 환경을 만들고, 상처를 폐쇄시켜 2차감염이 생기지 않도록 보호해주는 역할을 합니다. 그리고 피부에 상처가 생기면 세포성장인자가 나와 재생을 도와주는데, 습윤 밴드가 이런 인자들을 상처표면에 유지시켜주어 피부재생이 빨리 일어나게 해줍니다.
하지만 여드름을 압출한 후가 아닌 상태에서 습윤 밴드를 붙이는 것은 주의해야 합니다. 여드름이 발생하는 원인 중에 하나인 프로피오니박테리움(P.acne)은 혐기성 세균이라고 알려져 있습니다.
즉, 산소를 싫어하는 세균입니다. 그런데 여드름이 형성되는 과정에서 습윤 밴드를 붙여서 밀폐시킬 경우, 오히려 프로피오니박테리움 번식을 돕는 환경을 만들어주게 됩니다.
그렇게 되면 여드름균의 번식이 더 원활하게 일어나서 여드름이 악화될 수 있습니다. 때문에 하이드로콜로이드 밴드, 듀오덤, 스킨테이프 등 이런 습윤 밴드들은 여드름을 압출한 후나 상처가 개방된 상태에서는 붙이되, 압출 전에는 붙이지 않는 것이 원칙입니다.
근본적으로 여드름 생성되지 않도록 치료 해주어야
여드름을 올바르게 압출하는 것이나, 여드름 상처에 습윤 밴드를 붙이는 것은 모두 여드름이 악화되지 않도록 관리하는 것이지 근본적으로 여드름이 생기지 않도록 하는 것은 아닙니다.
반복되는 여드름, 낫지 않는 여드름은 정확한 체질진단과 생활교정 등 체질에 따른 치료가 병행이 되어야 합니다. 즉 피부호흡건강법을 통해 근본적으로 여드름이 생기지 않도록 치료하는 것이 무엇보다 중요합니다.
여드름 칼럼 더보기

Copy Protected by Chetan's WP-Copyprotect.
Copy Protected by Chetan's WP-Copyprotect.