피부 진피층에만 국한되어 오래 지속되는 것이 만성 두드러기
부종이 심부 진피나 점막 하 조직에 침범하면 맥관부종
두드러기, 한의학에서는 담마진(蕁麻疹)이라고 합니다.
인구의 15~20%가 일생에 한 번 두드러기 경험
두드러기는 흔히 관찰되는 피부질환 중 하나로 전 인구의 15~20%는 일생에 적어도 한 번 이상의 두드러기를 경험한다고 합니다.
두드러기는 벌레에 물린 것과 같이 부풀어 오르는 팽진 이 가장 큰 특징입니다. 소양감, 즉 피부가 몹시 가려운 증상이 가장 큰 특징이며 경계가 명확하게 붉거나 흰색으로 부풀어 오릅니다.
이런 팽진은 혈관반응으로 인해 발생하는 것으로 피부의 진피에 나타나는 일시적인 부종에 의한 것입니다.
부종이 나타나는 부위에 따라 피부 진피층에만 국한되면 피부의 두드러기로 나타나고 부종이 심부 진피나 점막 하 조직에 침범하면 흔히 말하는 맥관부종(angioedema)으로 나타나게 됩니다.
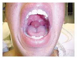
맥관부종 
맥관부종은 주로 입술이나 눈 점막에 발생
맥관부종은 입술이나 눈 점막 같은 곳에 주로 발생하고 급성 반응으로 심할 경우 기도의 점막이나 혀에 발생하면 호흡이 불편하거나 말을 하기 힘들 수도 있습니다.
두드러기는 여러 가지 원인과 기전에 의해 비만세포(mast cell) 및 호염기구(basophil)에서 여러 가지 화학 매개체들이 유리되고, 이 매개체들이 피부나 점막의 미세 혈관에 작용하여 혈관을 확장시켜 발생하는 것입니다.
하지만 대부분의 두드러기가 발생 원인을 알지 못하고 수일에서 수 주 이상 지속하다가 만성 두드러기와 맥관부종으로 발전하는 경우가 많습니다.
대부분의 만성 두드러기와 맥관부종은 항히스타민제의 효과가 없어
일반적으로 두드러기나 맥관부종에는 항히스타민제를 처방합니다. 급성 두드러기의 치료는 항히스타민제(anti histamin)의 사용으로 진정을 해보는 것도 의미가 있습니다.
수일간 항히스타민제를 복용 후 면역계가 회복되면 증상 소실이 될 수 있습니다. 하지만 면역력이 회복되지 않으면 항히스타민제의 지속시간이 점점 짧아지게 되어 항히스타민제의 용량이 점점 늘어나고 내성이 생기게 되면서 만성 두드러기로 진행됩니다.
또한, 사상체질적인 관점으로 항히스타민제는 태음인에게는 비교적 효과가 진정 효과가 빠르지만, 소음인이나 소양인에게는 효과가 미비할 수 있습니다.
그리고 대부분의 만성 두드러기와 맥관부종까지 발전한 경우는 항히스타민제가 효용이 없거나 작용 시간이 점점 짧아지는 경우가 대부분입니다. 그러므로 보다 근본적인 치료가 필요합니다.
이소한의원
주소_ 서울특별시 도봉구 노해로 63길 84-3
(서울특별시 도봉구 창동 135-15)
문의_ 02-903-7510
창동역 2번출구 나온방향 오른쪽 첫번째 건물 2층 (국민은행 ATM기 건물)
만성 두드러기 관련 글보기 맥관부종 관련 글보기


Copy Protected by Chetan's WP-Copyprotect.
Copy Protected by Chetan's WP-Copyprotect.